“It is never too late to get the smile you want”

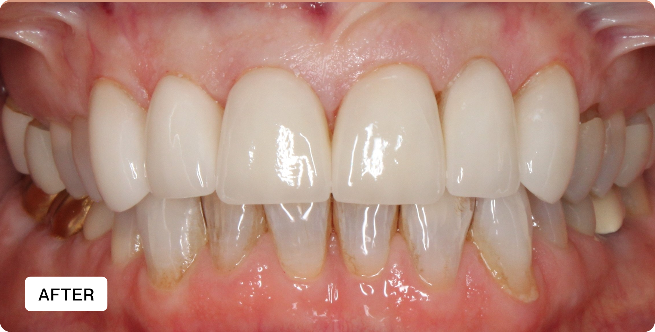
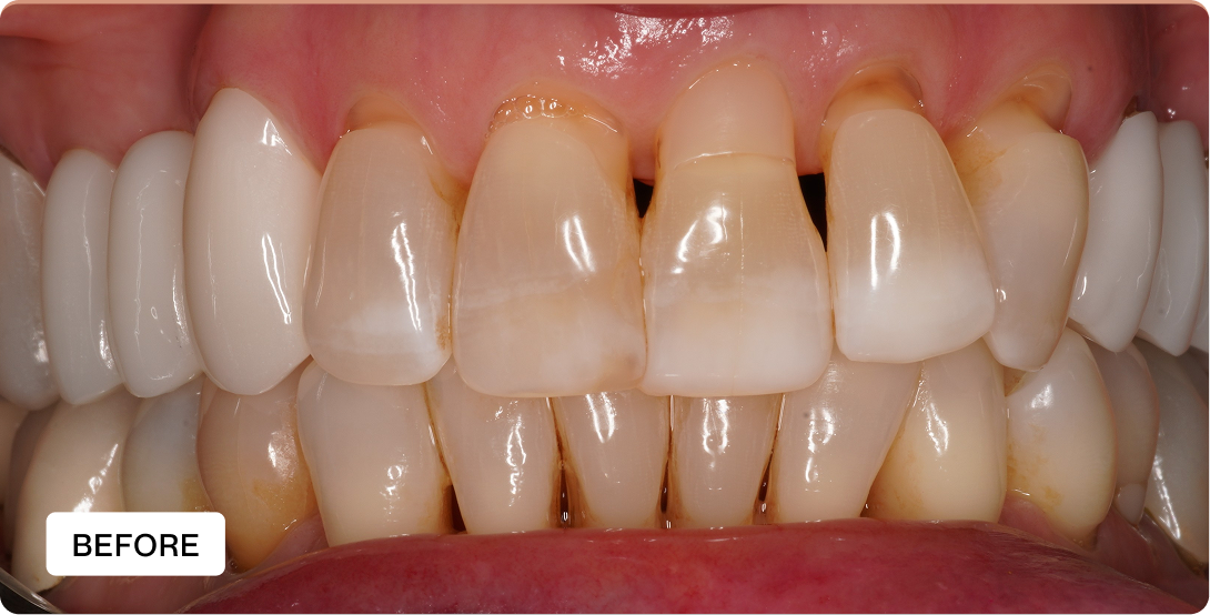
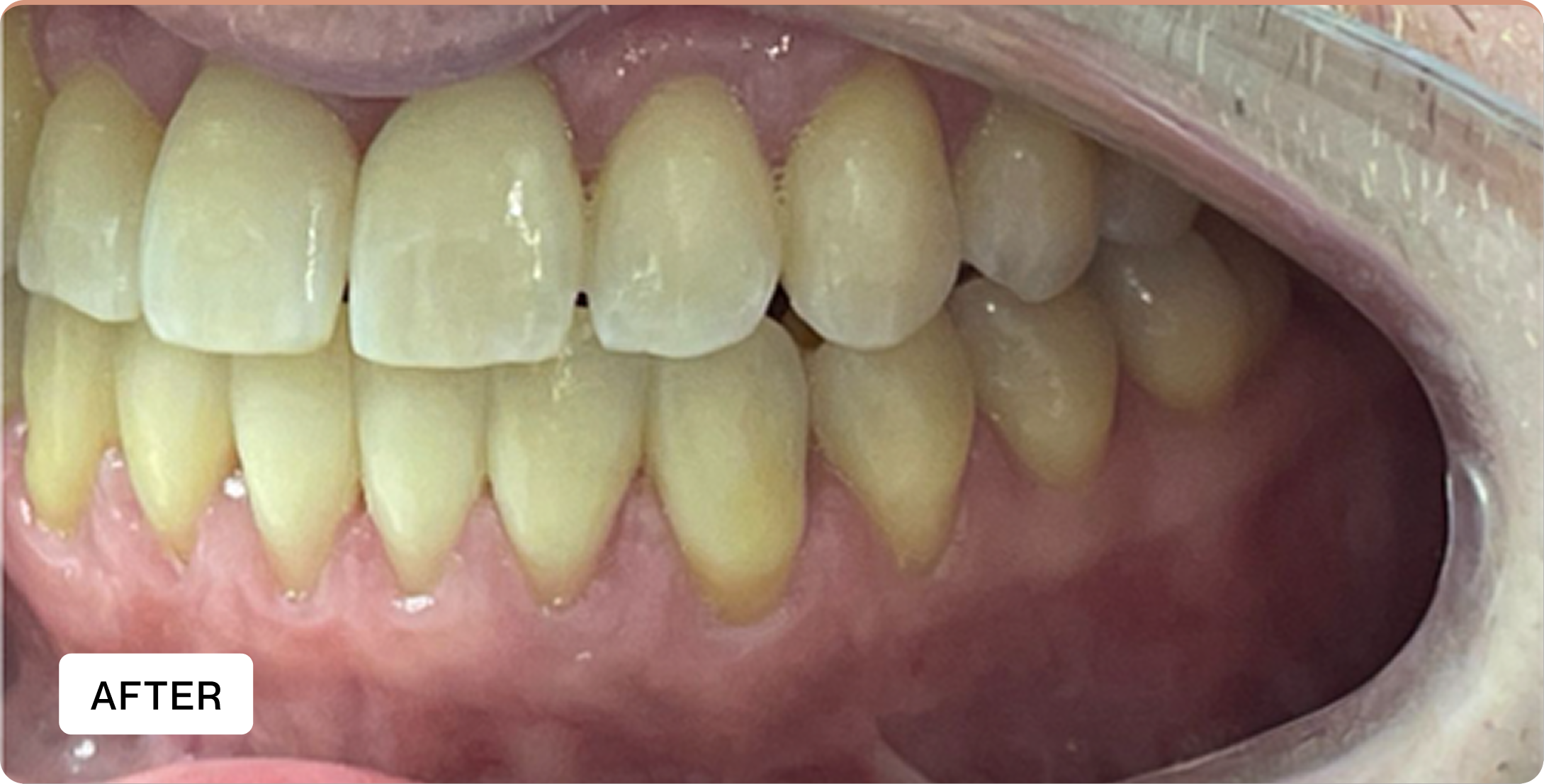
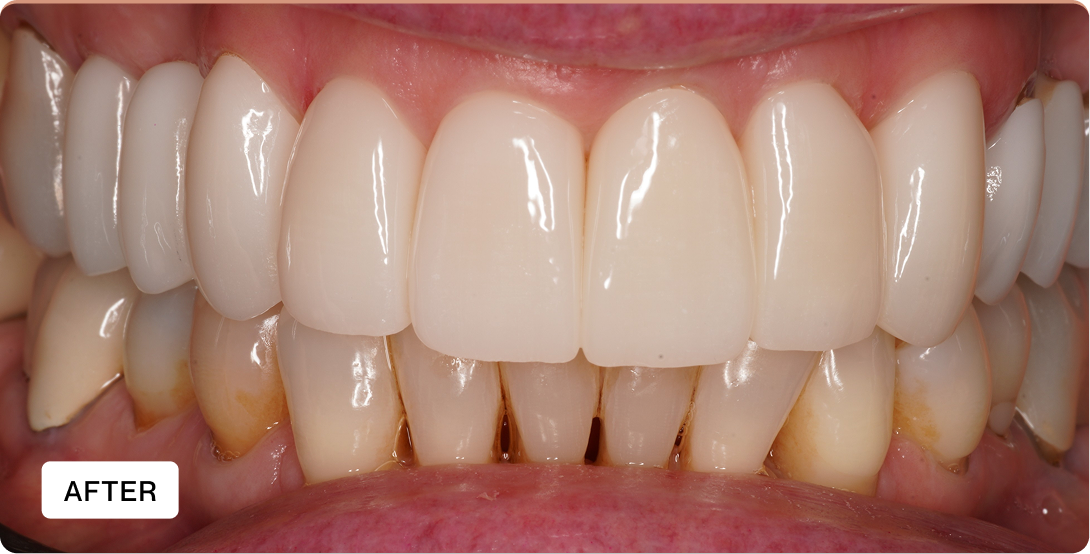
Before & After

Creating natural-looking beauty takes a trained eye and meticulous attention to detail. By partnering with some of the world’s leading dental labs and master ceramists, we’ve been able to craft beautifully transformed smiles that look and feel completely natural. Our goal is simple: results so seamless, they’re undetectable.

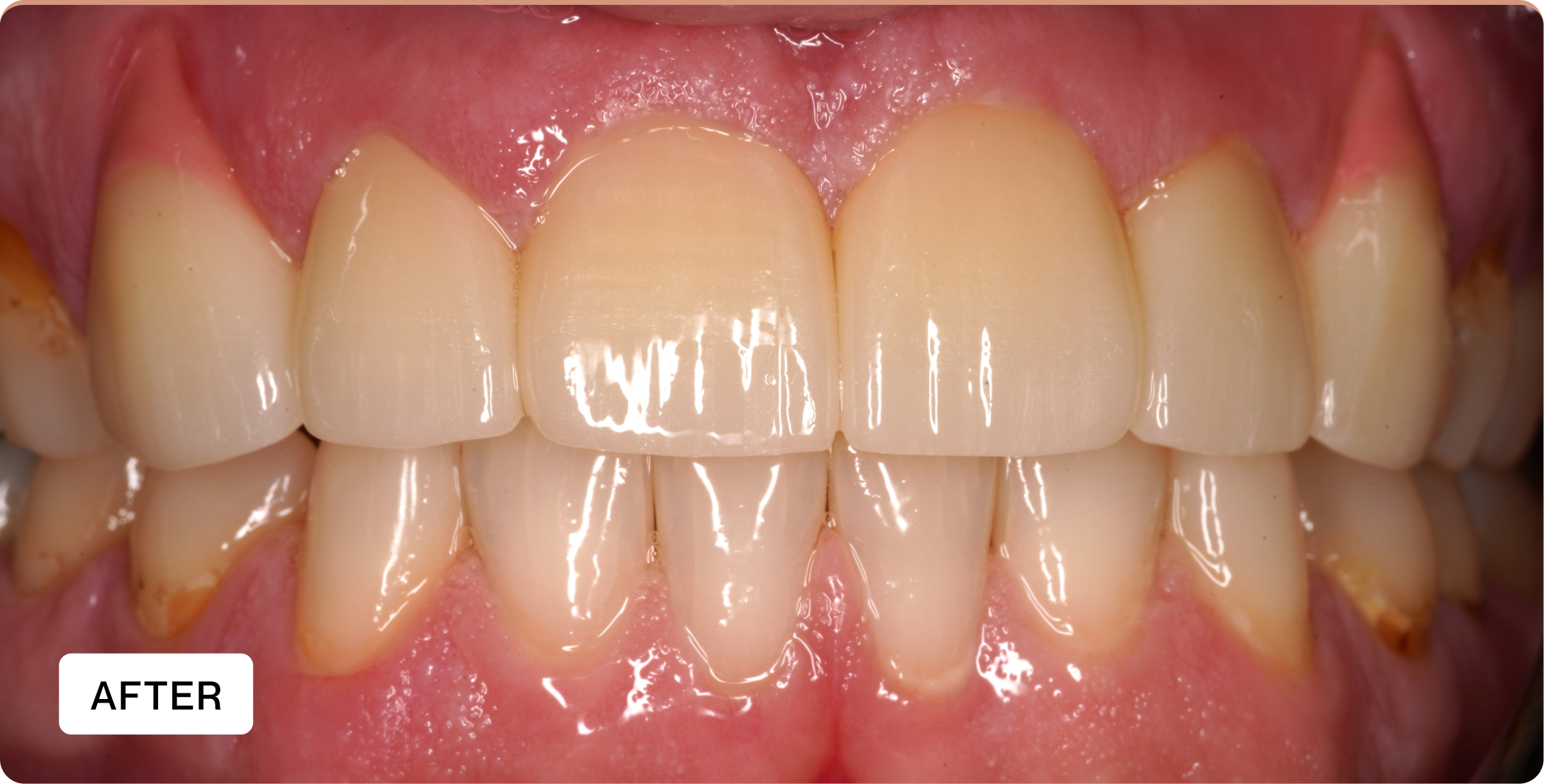
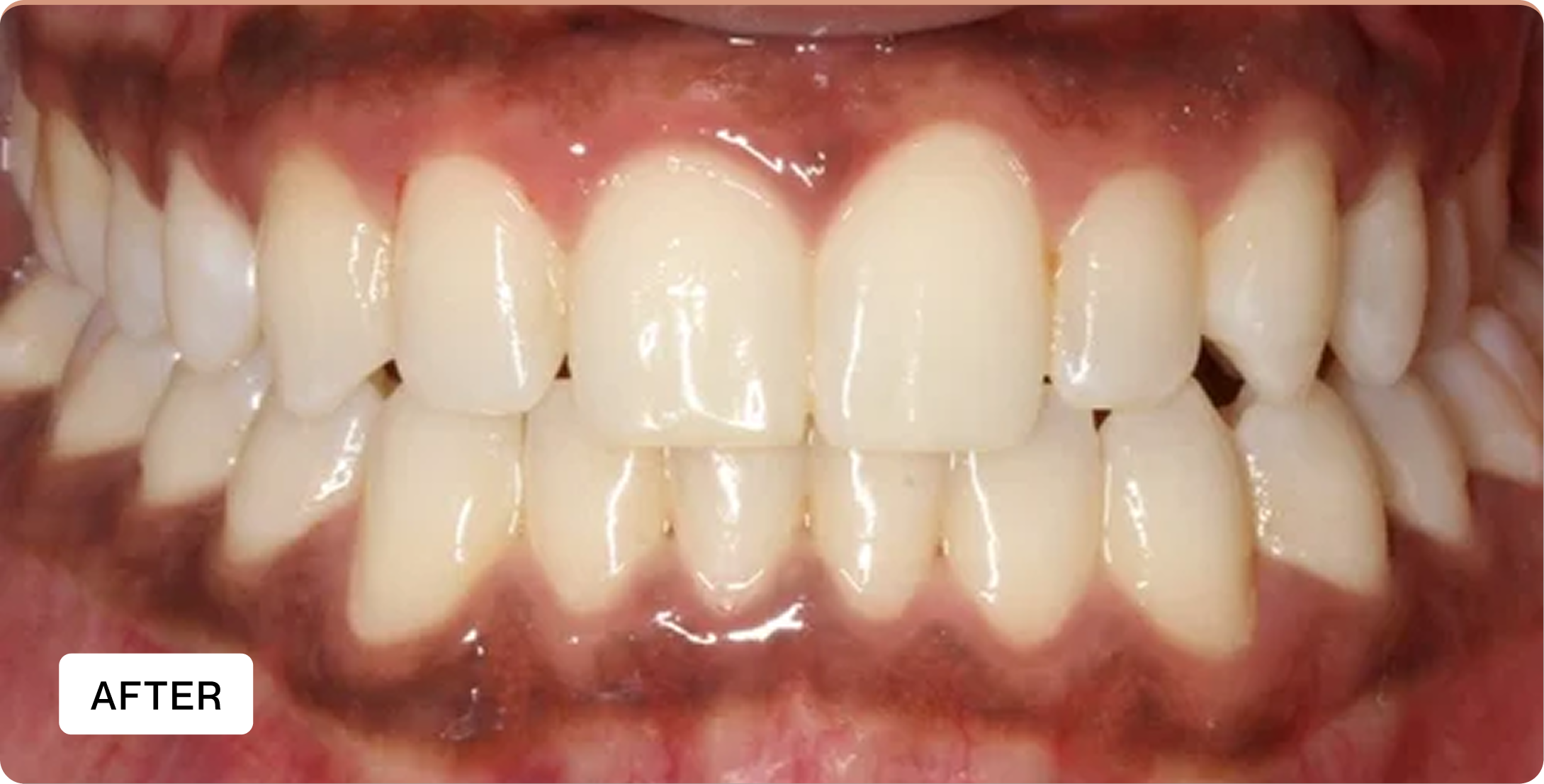
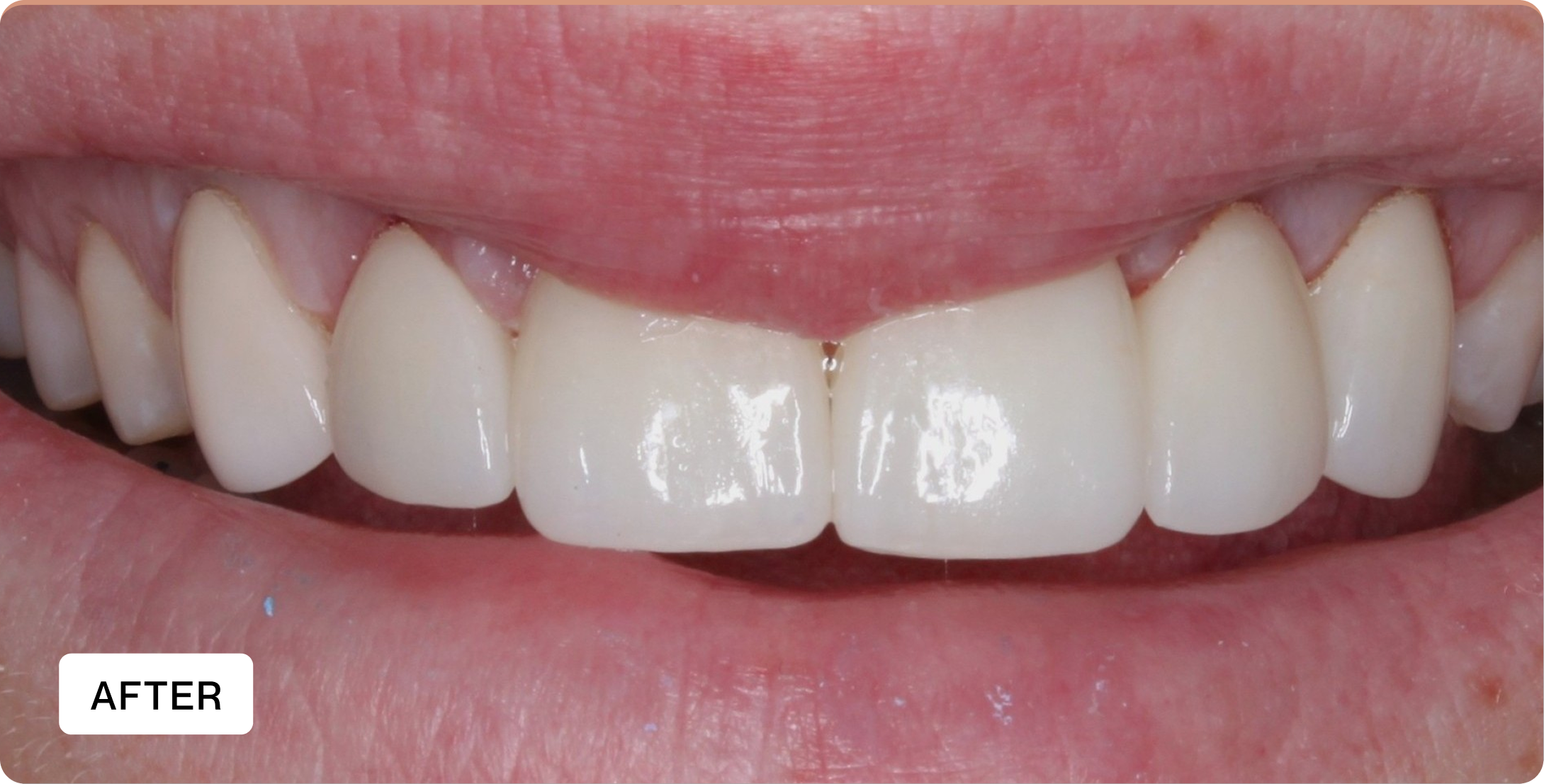
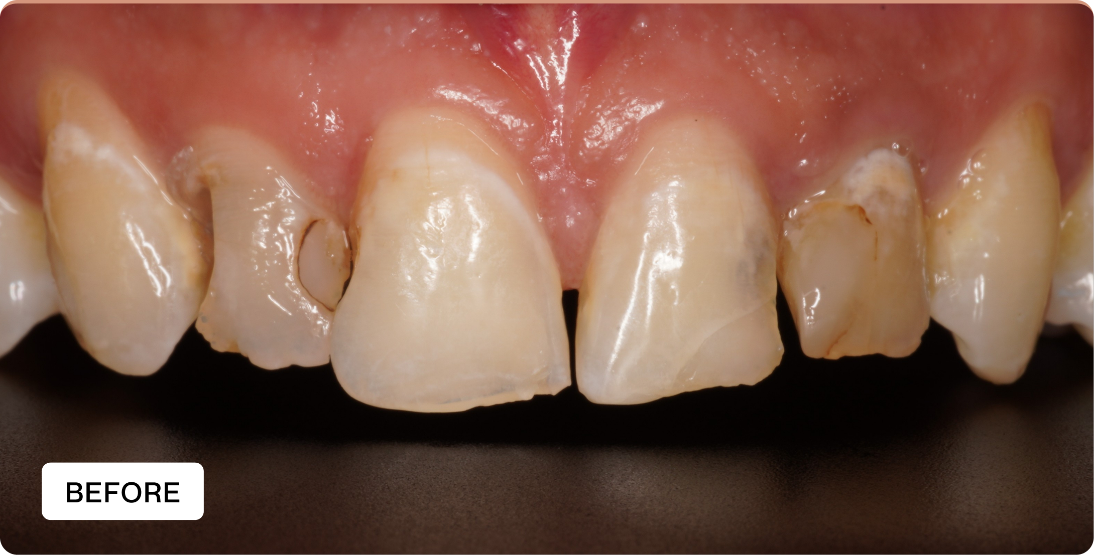
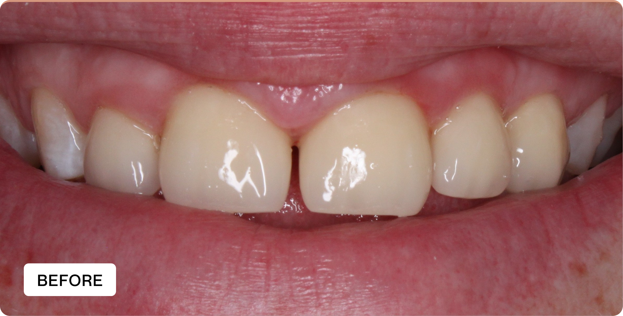
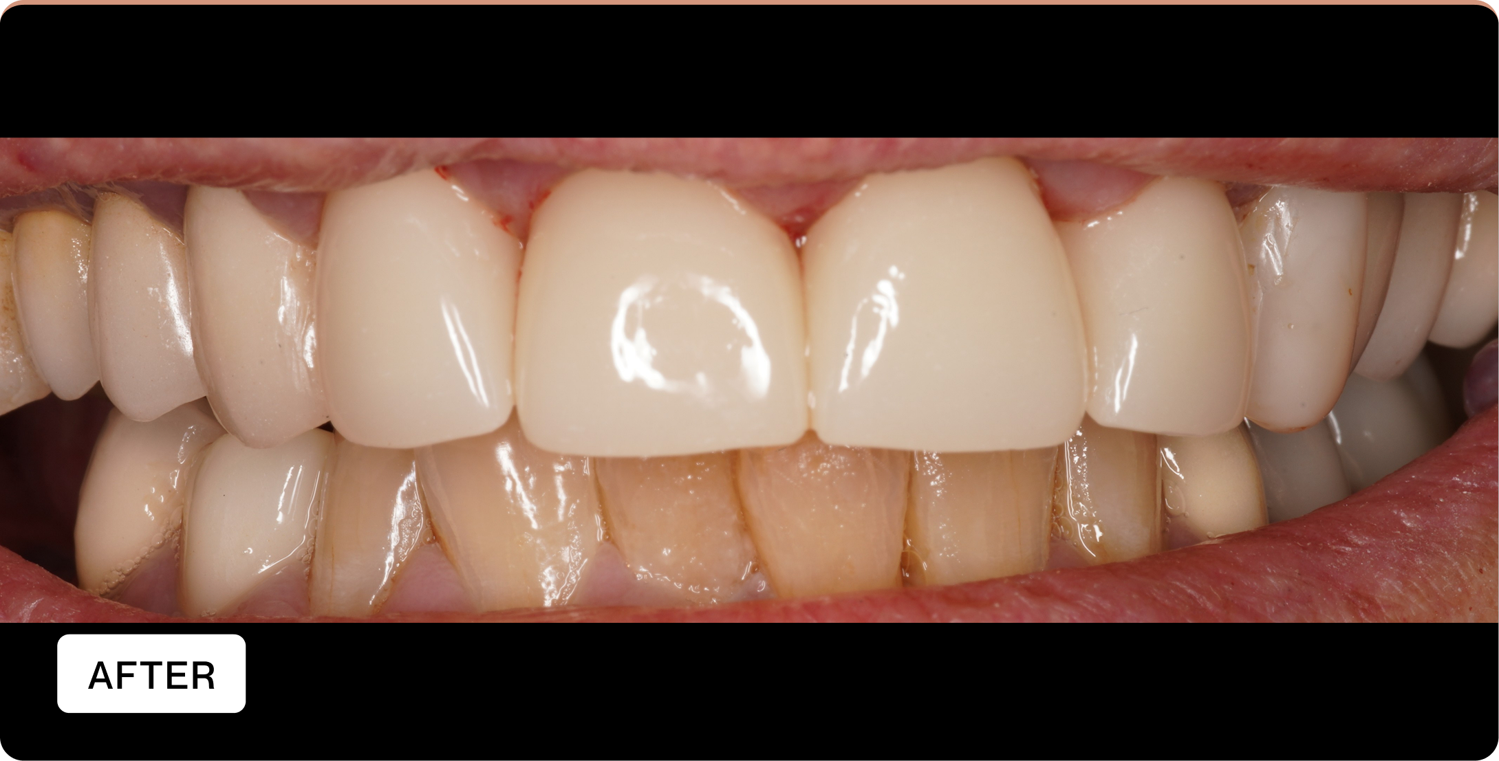
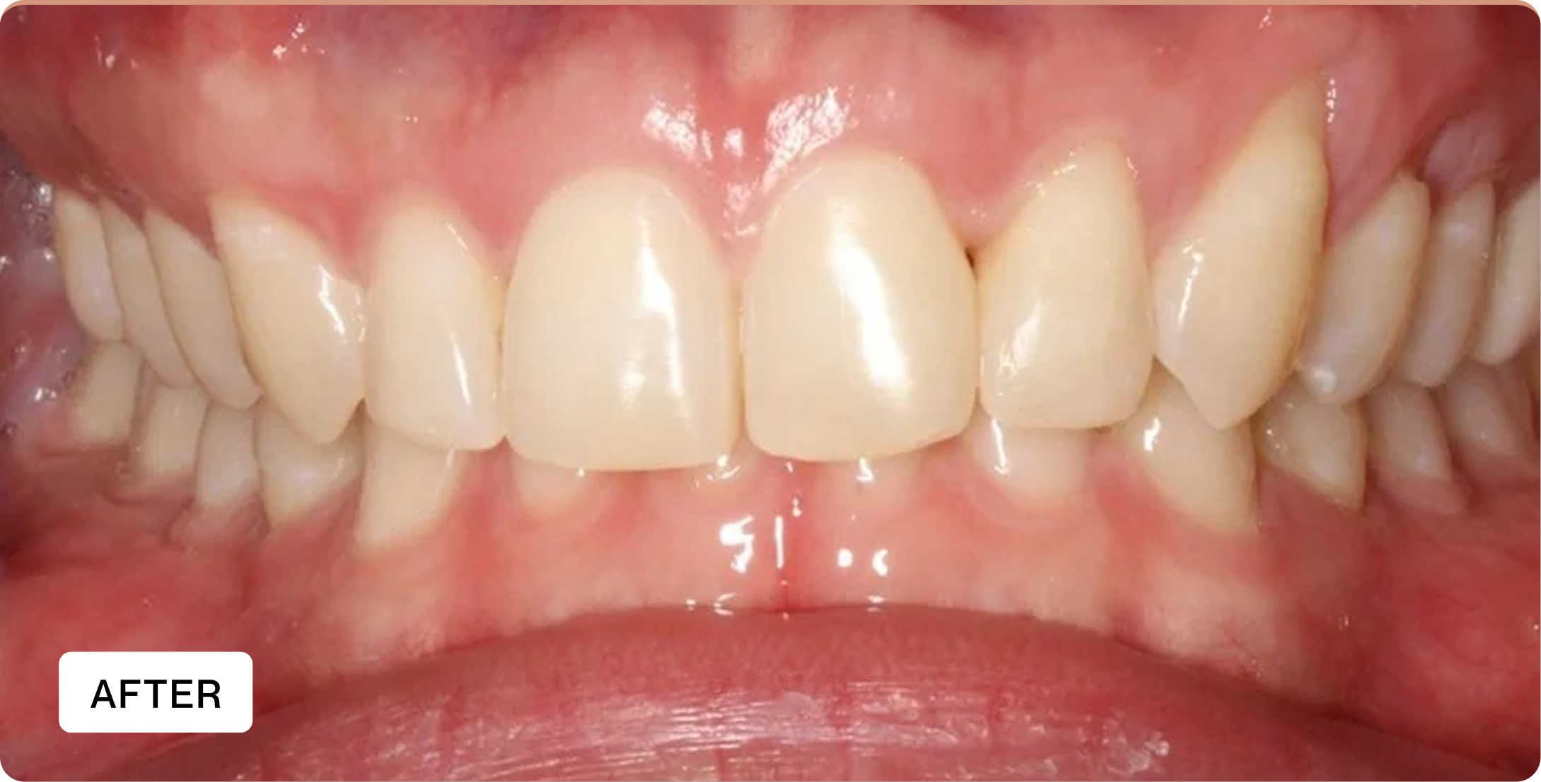
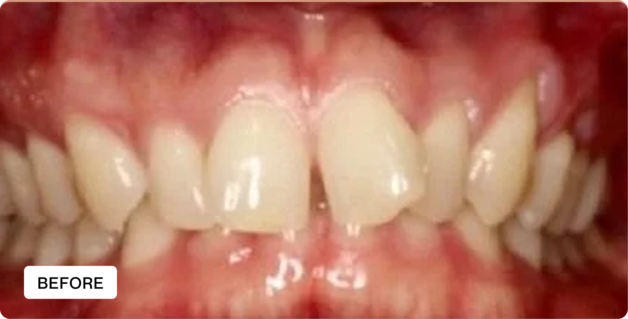
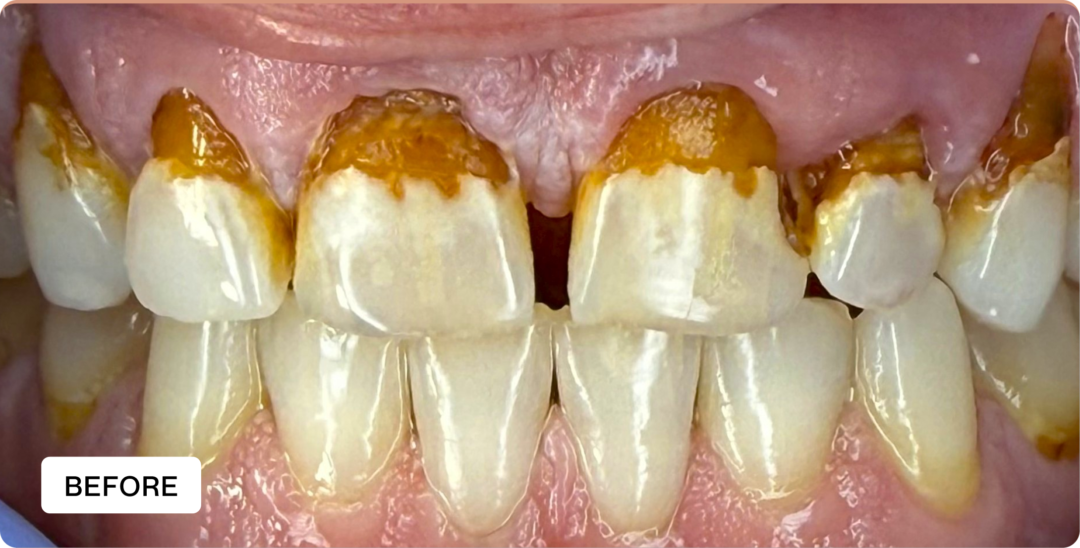
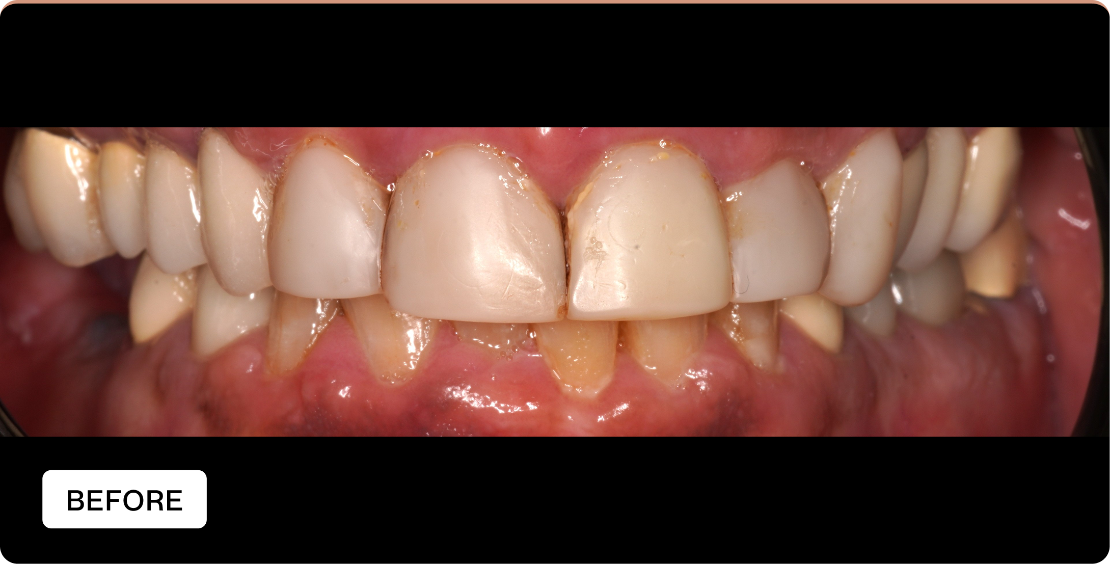
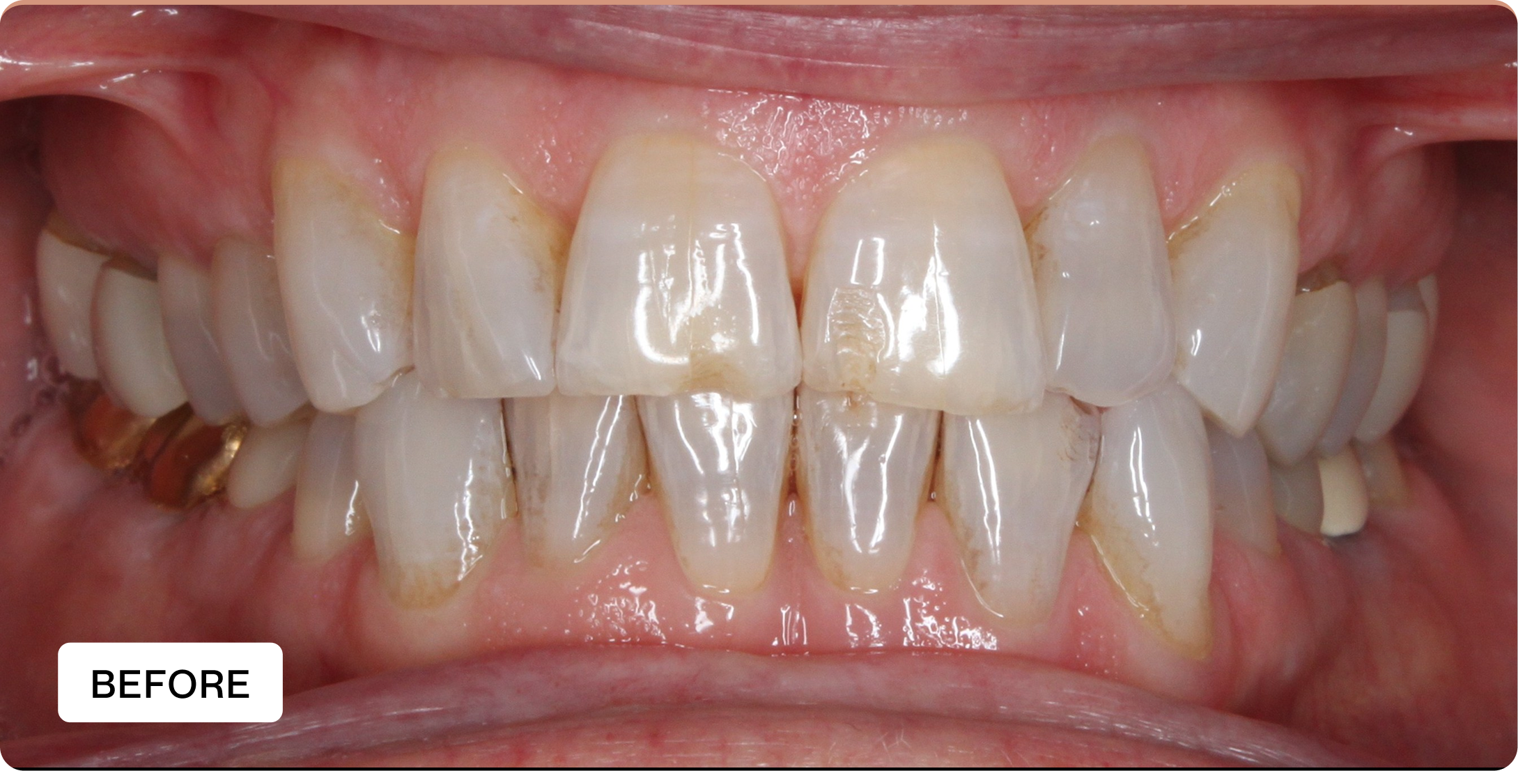
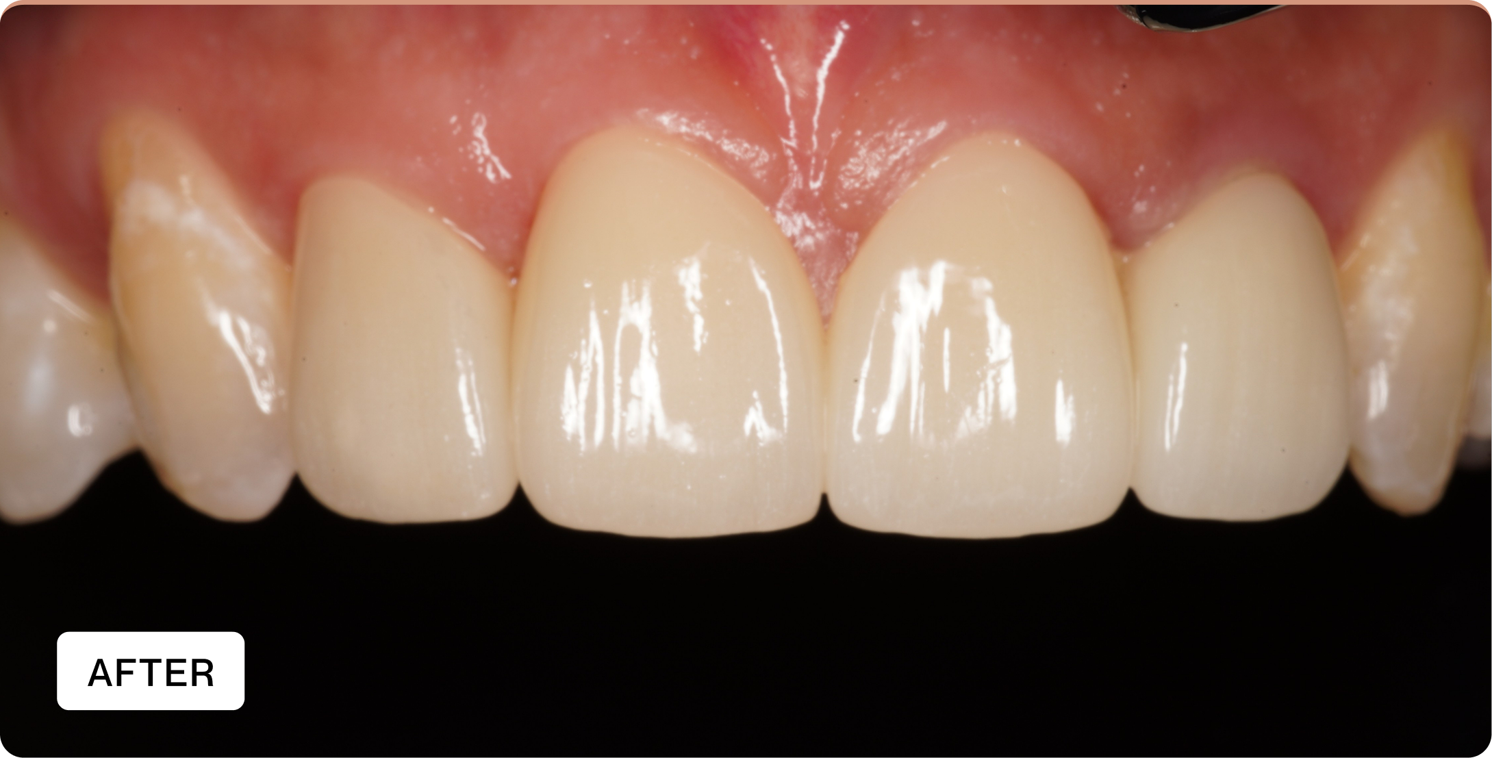
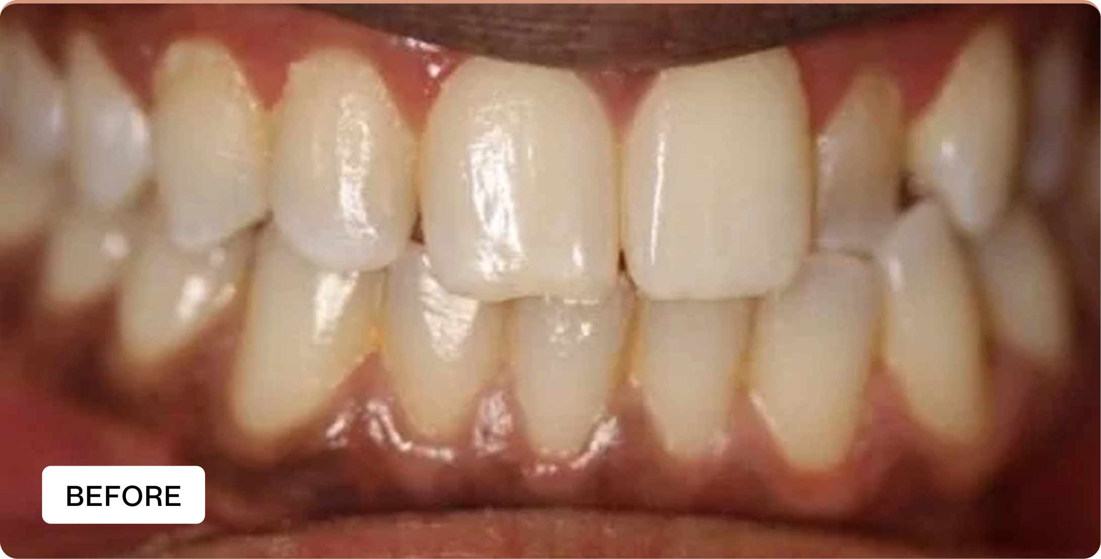
Procedure: 5 Crowns
Procedure: 6 Crowns
Procedure: 6 Crowns
Procedure: 4 Crowns
Procedure: 6 Crowns
Procedure: 6 Crowns
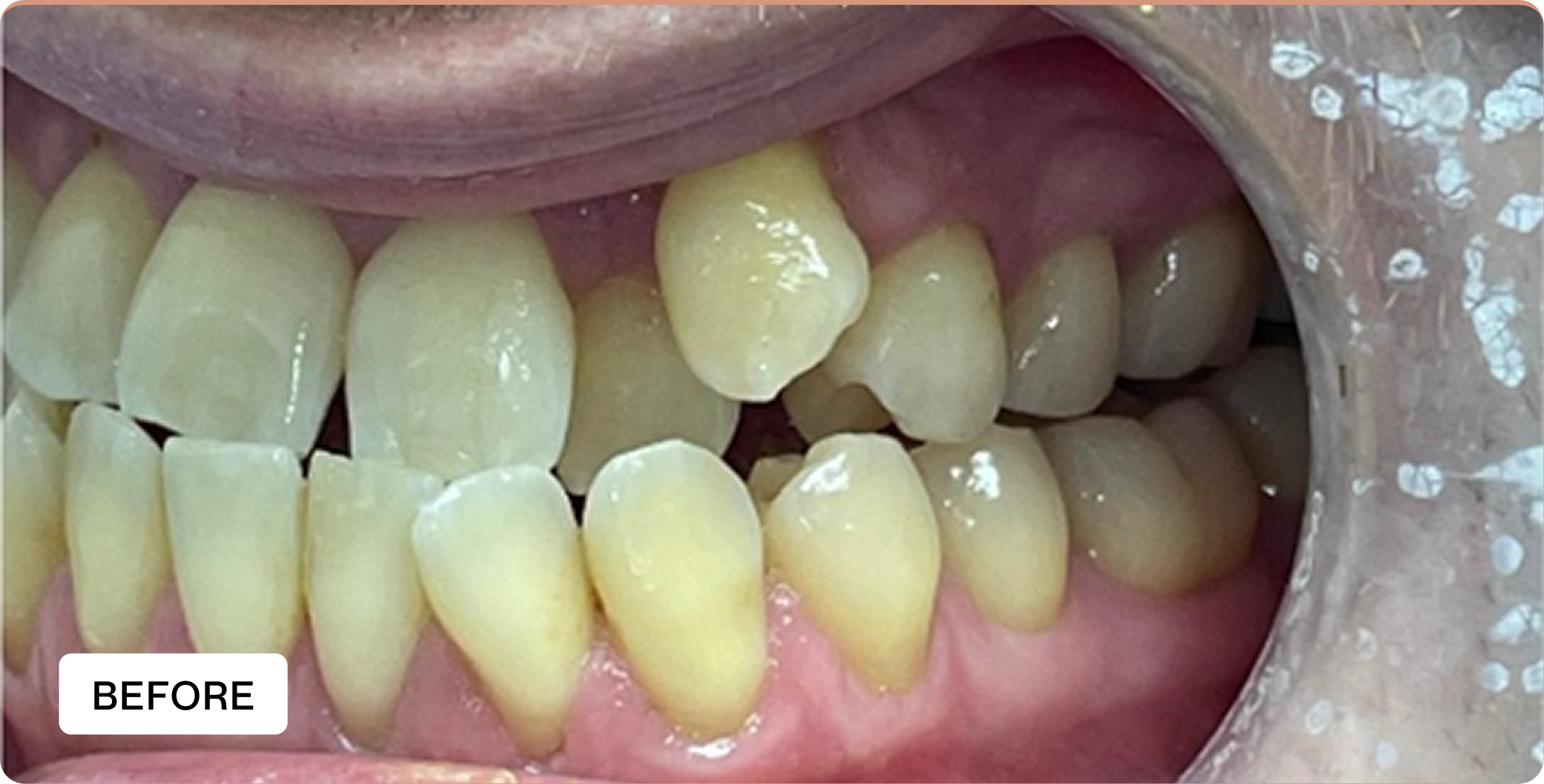
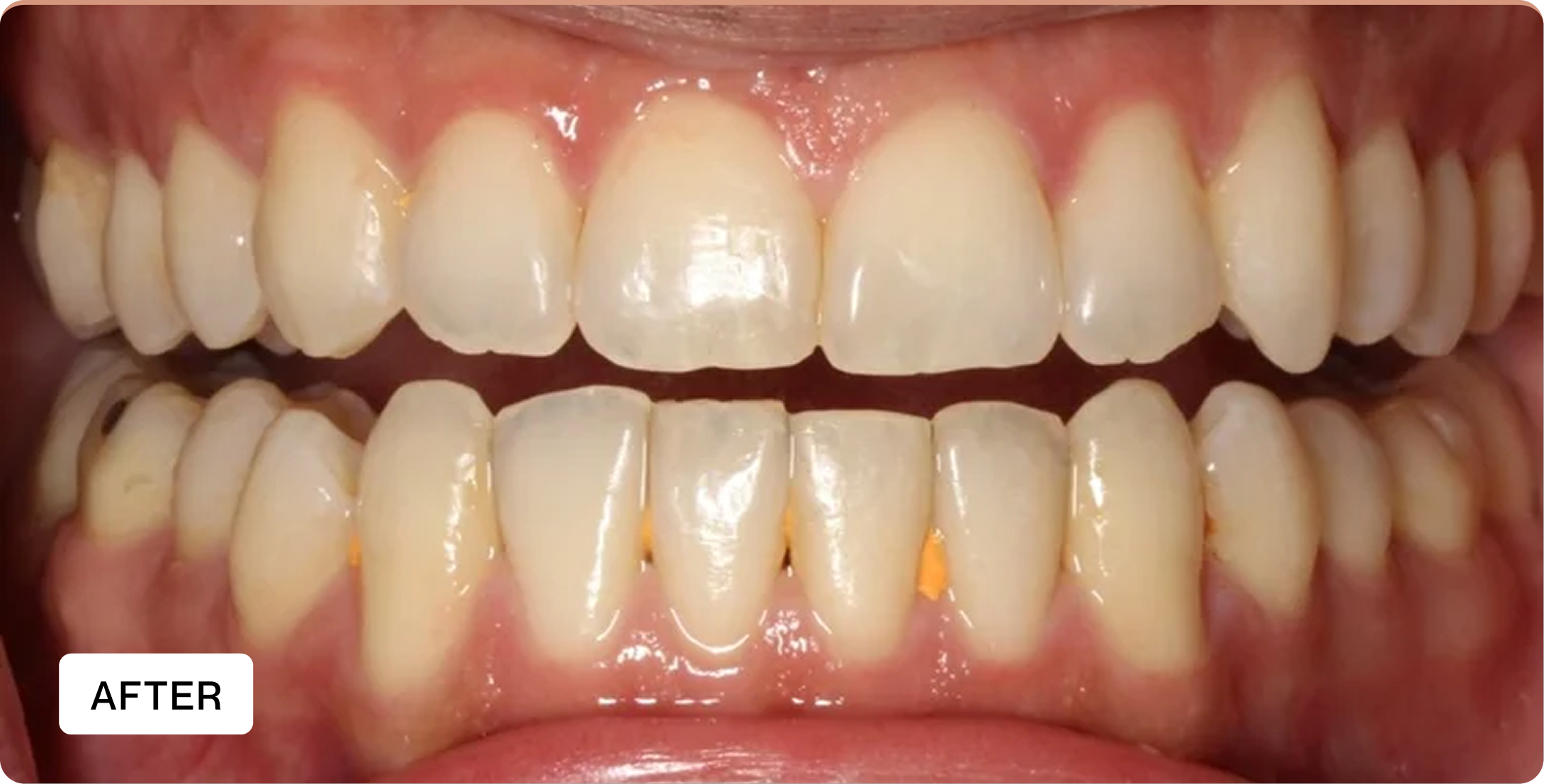
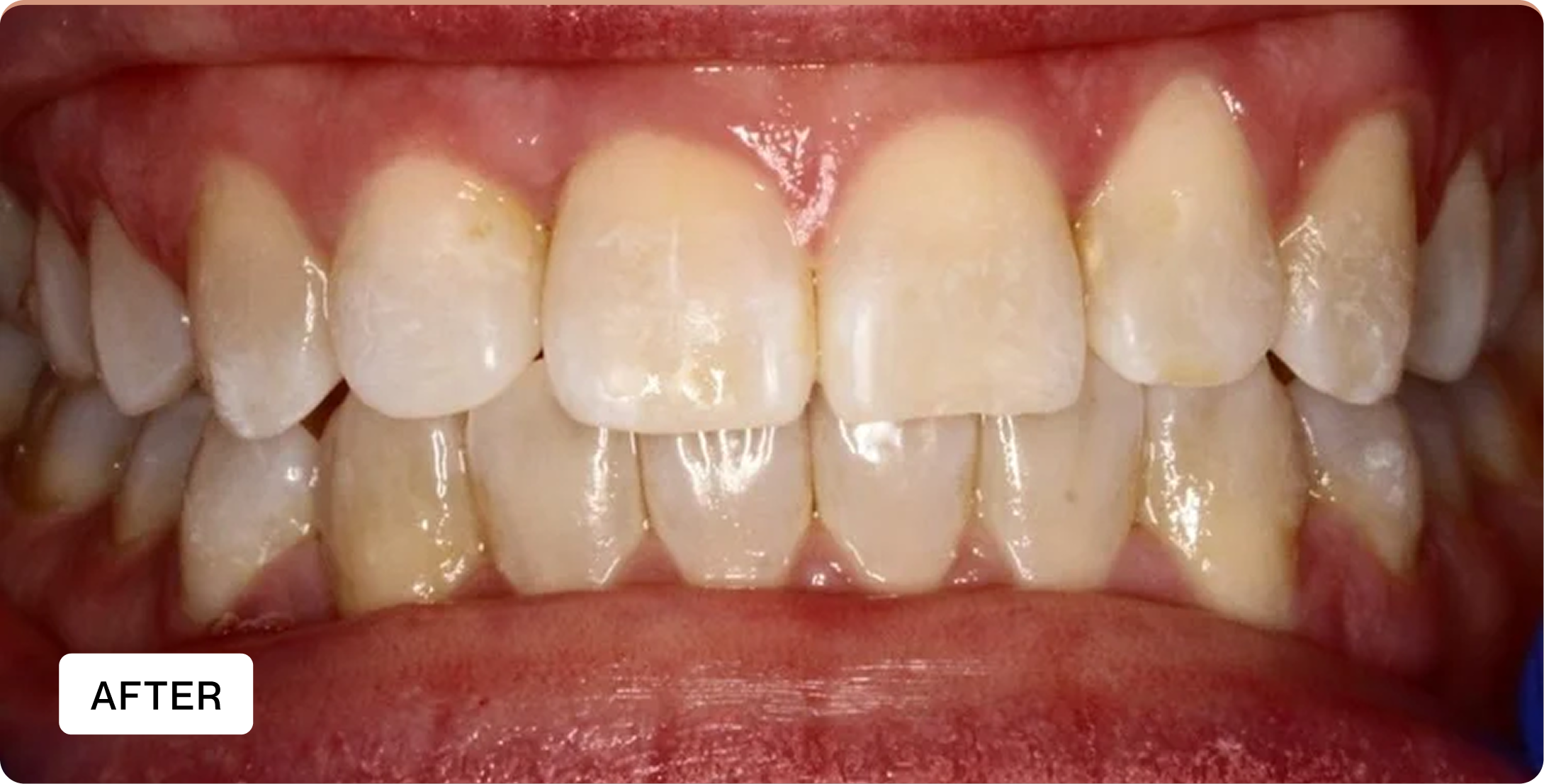
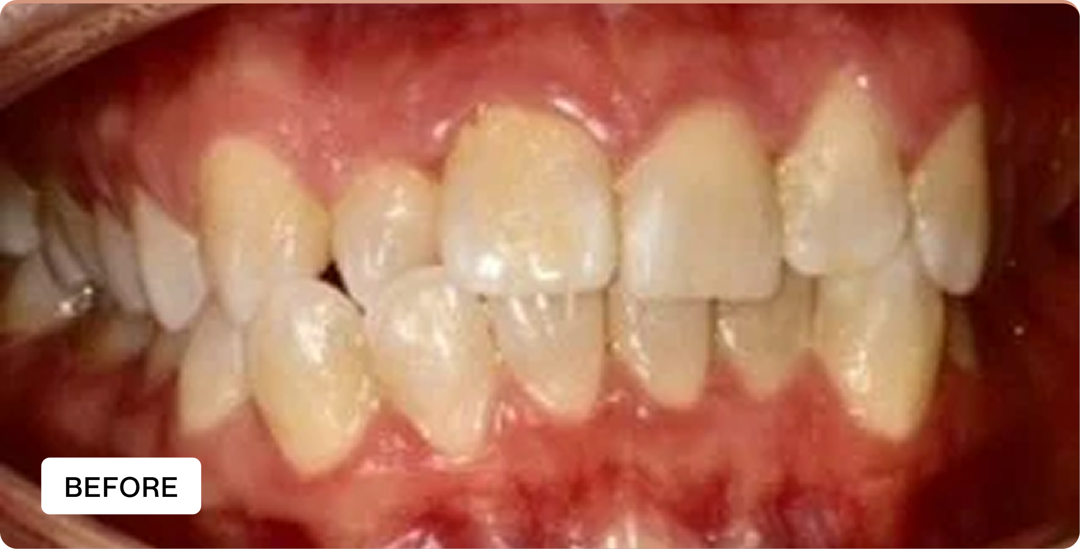
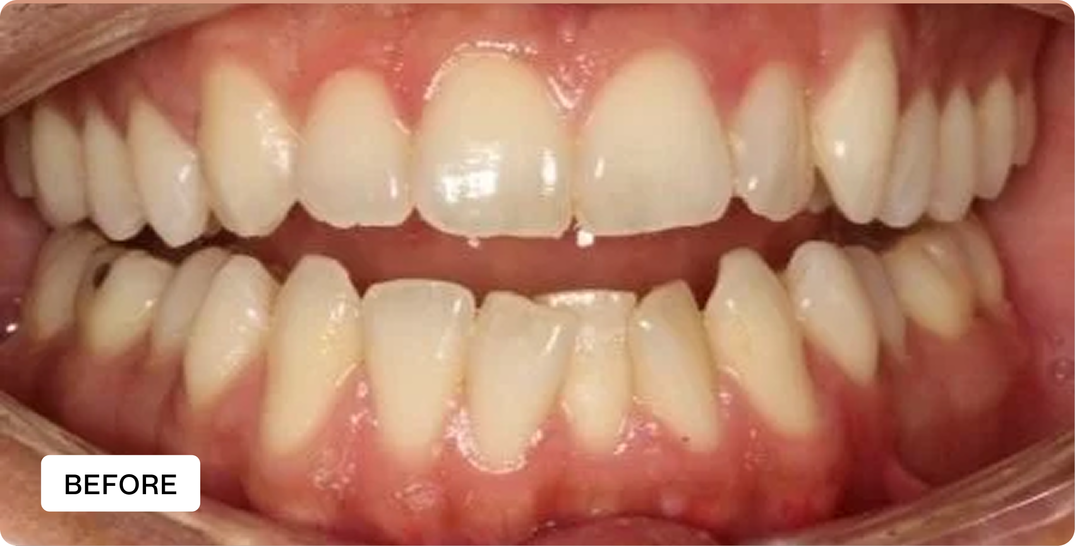
Treatment time : 3 months Invisalign
Treatment time : 4 months Invisalign
Treatment time : 3 months Invisalign
Treatment time : 11 months Invisalign
Treatment time : 3 months Invisalign
Treatment time : 4 months Invisalign
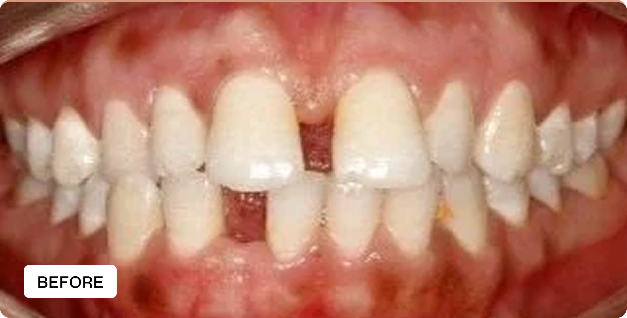
Procedure: 5 Crowns
Procedure: 6 Crowns
Procedure: 6 Crowns
Procedure: 4 Crowns
Procedure: 6 Crowns
Procedure: 6 Crowns
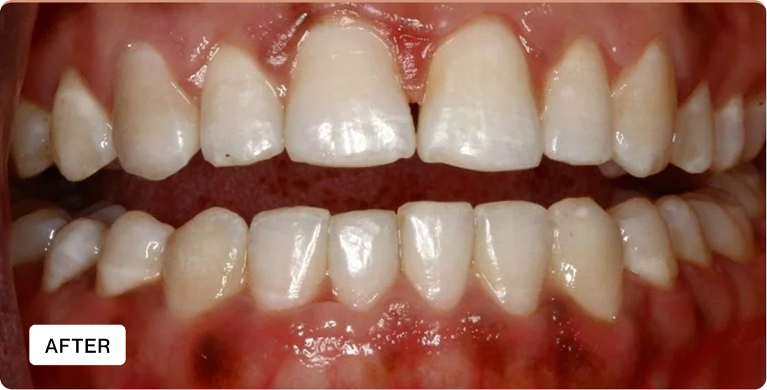
Treatment time : 4 months Invisalign
Treatment time : 4 months Invisalign
Treatment time : 7 months Invisalign
Treatment time : 3 months Invisalign
Treatment time : 11 months Invisalign
Treatment time : 3 months Invisalign
“Elevate Dental offers skilled and knowledgeable dentists with extensive experience in various procedures. It prioritizes listening to patient concerns and explaining treatment options clearly.”
Jamie C.

Serving Seattle and Nearby Communities

We proudly serve patients from Belltown, Queen Anne, freemont, Capital Hill, Medina, Mercer Island, Bellevue

We have same-day appointments available!

Copyright © 2026 Elevate Dental
Powered by Sunrise Reach